cabinet dentaire

+212 5376-10995

Adresse : Boulevard Hassan I Lot Abbadi Imm 145 Appt 4, Temara 12000

Blog

Caries dentaires à Témara : causes, symptômes et traitements modernes

Caries dentaires à Témara : découvrez les causes, symptômes et traitements modernes pour préserver votre santé bucco dentaire avec votre dentiste spécialiste.

Les caries dentaires sont l’un des problèmes les plus fréquents en santé bucco-dentaire. Elles peuvent toucher aussi bien les enfants que les adultes, souvent sans signes visibles au début. Pourtant, une carie non traitée peut évoluer rapidement vers une douleur dentaire intense, une infection ou même une perte de dent.

À Témara, de nombreux patients consultent tardivement, souvent en situation d’urgence dents, lorsque la douleur devient difficile à supporter. Pourtant, avec une bonne prévention et des soins dentaires adaptés, il est possible d’éviter ces complications.

Dans cet article, nous vous expliquons les causes des caries, leurs symptômes et les traitements modernes proposés dans notre cabinet dentaire.

 

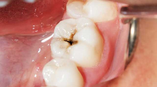
carie dentaire dr jamila zemrani temara-rabat
icone-blanchiment-dentaire-interne-docteur-Jamila-Zemrani-à-Temara

Qu’est-ce qu’une carie dentaire ?

Une carie dentaire est une destruction progressive de la dent causée par des bactéries présentes dans la bouche. Ces bactéries transforment les sucres alimentaires en acides qui attaquent l’émail.

Sans traitement, la carie évolue en profondeur :

  • Atteinte de l’émail
  • Atteinte de la dentine
  • Infection de la pulpe (nerf)
  • Formation d’un abcès dentaire

Une carie ne relève pas de l’esthétique dentaire, mais bien d’un problème de santé qui nécessite une prise en charge rapide par un dentiste spécialiste

Quelles sont les causes des caries dentaires ?

Les caries ont plusieurs causes, souvent liées aux habitudes quotidiennes.

Mauvaise hygiène bucco-dentaire

Un brossage insuffisant favorise l’accumulation de plaque dentaire.

Alimentation riche en sucres

Les boissons sucrées et les grignotages fréquents augmentent le risque.

Absence de suivi chez le dentiste

Ne pas faire de consultation dentaire régulièrement empêche la détection précoce.

Mauvais alignement dentaire

Les dents mal alignées nécessitent parfois une correction dentaire avec des aligneurs dentaires ou des appareils dentaires pour faciliter le nettoyage.

Quels sont les symptômes d’une carie ?

Au début, une carie peut être totalement invisible. Avec le temps, plusieurs signes apparaissent :

  • Sensibilité au chaud et au froid
  • Douleur dentaire lors de la mastication
  • Tache noire ou trou visible
  • Mauvaise haleine
  • Douleur persistante (signe avancé)

Dans les cas graves, la carie peut évoluer vers un abcès dentaire, nécessitant une prise en charge en urgence pour les dents.

Pourquoi choisir une solution esthétique pour son sourire ?

Un beau sourire ne concerne pas uniquement l’apparence. Il a un impact direct sur :

  • La confiance en soi
  • La vie sociale et professionnelle
  • La santé bucco dentaire

Les traitements comme les couronnes ou les facettes permettent :

  • D’harmoniser le sourire
  • De corriger les défauts visibles
  • D’améliorer la fonction masticatoire
  • De prévenir certaines complications

Dans certains cas, une correction dentaire préalable avec des aligneurs dentaires ou des aligneurs invisibles peut être recommandée pour optimiser le résultat.

Pourquoi traiter une carie rapidement ?

Retarder le traitement peut entraîner :

  • Une douleur intense
  • Une infection
  • La destruction complète de la dent
  • Un besoin de remplacement dentaire (implant ou couronne)

En revanche, un traitement précoce permet :

  • Des soins simples et rapides
  • Une préservation de la dent naturelle
  • Un coût réduit
  • Une meilleure santé bucco-dentaire

Consulter un dentiste en urgence en cas de douleur est essentiel pour éviter les complications.

Qui est concerné par les caries dentaires ?

Enfants

Très exposés à cause des habitudes alimentaires sucrées.

Adultes

Souvent liés au stress, au manque de temps ou à une mauvaise hygiène.

Patients avec appareils dentaires

Les porteurs d’aligneurs invisibles ou d’appareils dentaires doivent être particulièrement vigilants, car les zones difficiles à nettoyer favorisent les caries.

Quels sont les traitements modernes des caries ?

Dans notre cabinet dentaire, les traitements dépendent du stade de la carie.

1️ Carie débutante

  • Nettoyage
  • Application de fluor

2️ Carie moyenne

  • Élimination de la carie
  • Obturation (plombage esthétique)

3️ Carie avancée

  • Dévitalisation
  • Pose d’une couronne dentaire

4️ Cas sévère

  • Extraction dents 
  • Remplacement dentaire (implant ou prothèse)

Les techniques modernes permettent aujourd’hui des traitements rapides, efficaces et esthétiques

Consultation dentaire prévention

Pour éviter les caries, il est recommandé de :

  • Se brosser les dents 2 fois par jour
  • Faire un détartrage régulier
  • Limiter les sucres
  • Prendre rendez vous chez votre dentiste au moins une fois par an

La prévention reste la meilleure solution.

Conclusion

Les caries dentaires sont fréquentes mais évitables. Une bonne hygiène, des consultations régulières et une prise en charge rapide permettent d’éviter des complications importantes.

Dès les premiers signes de douleur dentaire, il est essentiel de consulter un dentiste en urgence pour éviter une aggravation.

Le bon réflexe reste simple : prendre rendez-vous chez votre dentiste dès que vous ressentez une gêne.

Votre santé bucco-dentaire est essentielle pour votre bien-être général.

FAQ – Caries dentaires

Une carie peut-elle guérir seule ?

Non. Une carie ne disparaît pas sans traitement.

Quand consulter un dentiste ?

Dès les premiers signes de sensibilité ou de douleur.

Une carie est-elle douloureuse ?

Pas toujours au début, mais elle devient douloureuse en évoluant.

Peut-on éviter les caries ?

Oui, grâce à une bonne hygiène et des visites régulières chez le dentiste.

cabinet dentaire

« Votre santé dentaire, notre priorité »

Adresse : Boulevard Hassan I Lot Abbadi Imm 145 Appt 4, Temara 12000

Tel : +212 5376-10995